Pathology Pearls Post 5: Chronic Viral Hepatitis

Brief Case Presentation

A 40-year-old immigrant male with a distant history of “hepatitis,” presents to his primary care provider with a 2-month history of nausea, abdominal pain, anorexia, and weight loss. He denies use of herbal medications, alcohol, and illicit drugs. Initial laboratory results are seen below:

Lab Value Result
AST 373
ALT 904
ALP 64
Total Bilirubin 1.9
Direct Bilirubin 0.4
Albumin 4.7

Given the patient’s elevated liver function tests, his primary care provider refers him to a hepatologist for further workup. Additional serologic testing is performed, the results of which are seen below:

Lab Value Result
ANA Negative
A1 Antitrypsin 152
Mitochondrial M2 Ab < 0.1
Smooth Muscle Ab Negative
HAV Ab, IgG Positive
HAV Ab, IgM Negative
HBV Core Ab(s) Positive
HBVe Ab Negative
HBV Surface Ab Negative
HBV DNA >1.7 x 10^7
HEV Ab, IgM Negative
CMV Ab, IgM Negative
EBV VCA IgM Negative
HIV-1/2 Ab/Ag Non-reactive

Liver Biopsy

The patient is sent for a liver biopsy, which is shown below. The liver architecture is intact and there is a mild mononuclear cell infiltrate, with occasional eosinophils, involving the portal tracts (Figure 1A and 1B).

Figure 1A. Low power image of the liver biopsy, demonstrating inflammation around the portal tracts.
Figure 1B. Medium power reveals the inflammation is predominantly lymphocytic.

The interlobular bile ducts are intact and there is mild interface activity (older term "piecemeal necrosis") recognized by lymphocytes in the periportal parenchyma, in association with hepatocellular damage (Figure 2A and 2B). 

Figure 2A. Medium power image showing mild interface and lobular activity.
Figure 2B. Higher power image revealing interface activity, which is seen as lymphocytes surrounding periportal hepatocytes.

The lobular parenchyma shows mild to moderate activity (recognized by lymphocytes in the sinusoids and lymphocytic aggregates associated with hepatocyte loss in the liver parenchyma) . There is no significant steatosis or cholestasis (Figure 3).

Figure 3. Area of lobular activity with a lymphocytic aggregate.

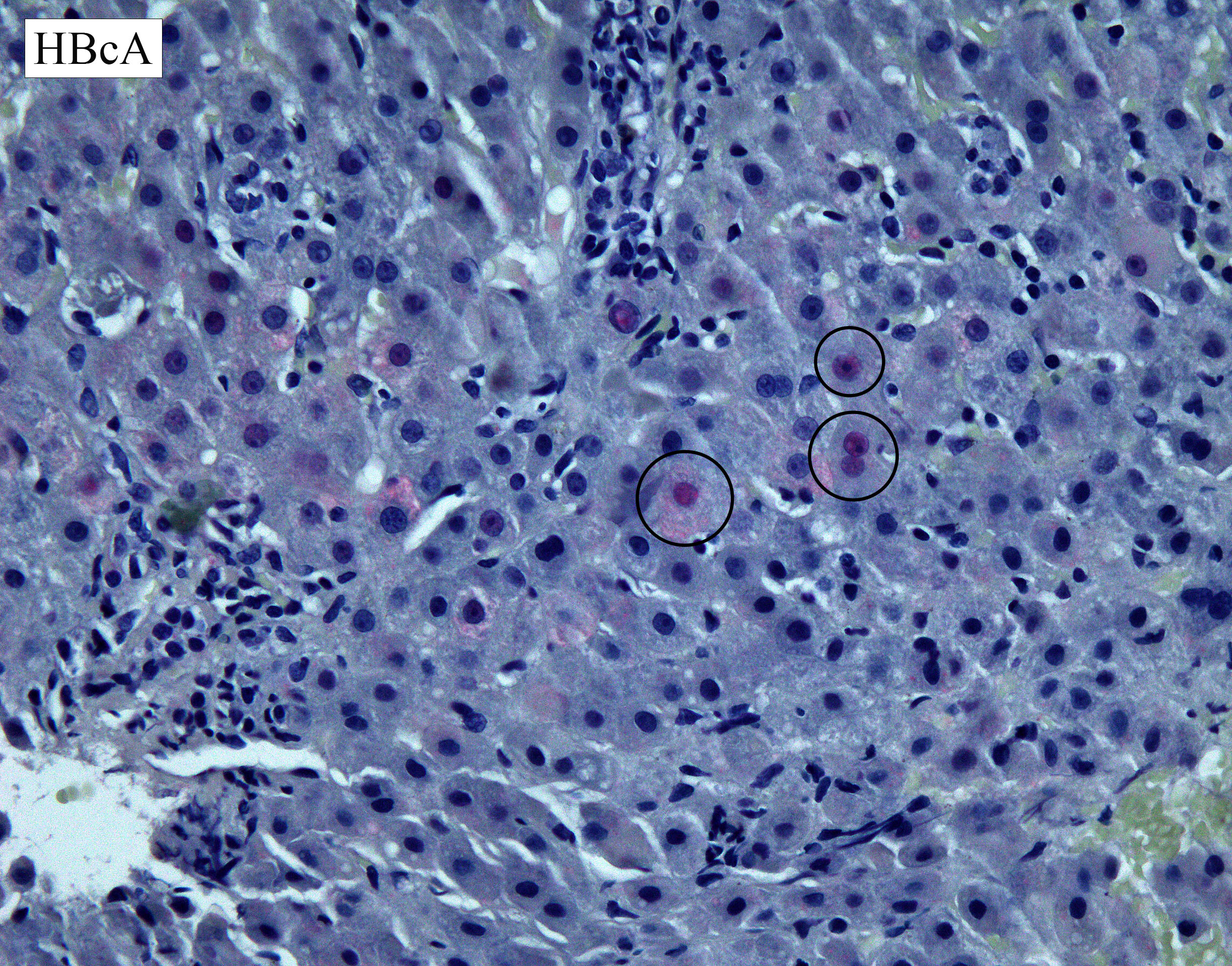
Given the clinical history, hepatitis B core (HBcA) and surface antigen (HBSA) immunostains are performed.  The HBcA stain is positive, showing nuclear and cytoplasmic staining (Figure 4). The HBSA stain is also positive, demonstrating strong cytoplasmic staining (Figure 5).

Figure 4. HBcA immunostain demonstrating nuclear and cytoplasmic positivity (red-pink hue), supporting the diagnosis of hepatitis B.
Figure 5. HBSA immunostain demonstrating cytoplasmic positivity (diffuse red-pink hue), supporting the diagnosis of hepatitis B.

Trichrome demonstrates patchy portal and periportal fibrosis with no areas of bridging (stage 2 of 4) (Figure 6).

Figure 6. Trichrome stain showing portal and periportal fibrosis (stage 2 of 4).

These findings, in conjunction with the clinical history, are consistent with chronic hepatitis B infection with grade 2 necroinflammatory activity and stage 2 fibrosis.

The patient was started on entecavir with marked improvement in HBV DNA and liver function tests.

What are the characteristic histologic features of chronic hepatitis?

The overall pattern seen in chronic hepatitis is a mild to moderate mononuclear (predominantly lymphocytic) infiltrate involving the portal tracts, as well as mild to moderate lobular activity. Interface activity is usually present.

There are many possible causes for chronic hepatitis, including viral infection (hepatotropic viruses), autoimmune hepatitis, and drug-induced liver injury. A few other conditions produce similar histologic changes (namely portal inflammation, +/- interface activity), such as Wilson's disease, alpha-1-antitrypsin deficiency, and primary biliary disorders (primary biliary cholangitis, primary sclerosing cholangitis) etc.

In contrast to other hepatotropic viruses, liver biopsies with hepatitis B may show “ground glass” hepatocytes, which contain abundant finely granular eosinophilic cytoplasm (Figure 7).

Figure 7. Hepatitis B demonstrating "ground glass" hepatocytes, characterized by finely granular eosinophilic cytoplasm.

As mentioned above, due to the histologic overlap between many of the causes of chronic hepatitis, the diagnosis relies heavily upon clinical correlation, especially with serologic studies and medication history.

What are the pathologic scoring systems used to evaluate chronic liver disease?

Regarding chronic liver disease, liver biopsies are taken to evaluate the extent and progression of disease, which guides therapy. There are several histologic scoring systems used to evaluate chronic hepatitis. The scoring systems used to evaluate chronic liver disease specific to ASH/NASH are discussed in LFN Post 4. Similarly, the scoring systems used to evaluate chronic liver disease secondary to other causes, such as viral infection, are also based upon the degree of necroinflammatory activity (grade) and fibrosis (stage).          

The most common scoring systems for chronic hepatitis include Batts-Ludwig [3] and Ishak (modified Knodell) [4] systems.

BATTS-LUDWIG

In the Batts-Ludwig scoring system [3], the grade is given on a scale of 0-4 based on the degree of interface activity, and lobular inflammation, and necrosis (see Table 1). The fibrosis is also scored on a scale of 0-4 (see Table 2). Representative diagrams of the degree of necroinflammatory activity and fibrosis from Theise et al. are seen in Figures 9 and 10 [5].

Table 1. Batts & Ludwig: Grading of Disease Activity in Chronic Hepatitis [3]

Terminology
Semiquantitativ
e
Terminology
Descriptive
Lymphocytic Piecemeal Necrosis Lobular inflammation and necrosis
0 Portal inflammation only, no activity None None
1 Minimal Minimal, patchy Minimal, occasional spotty necrosis
2 Mild Mild, involving some or all portal tracts Mild, little hepatocellular damage
3 Moderate Moderate, involving all portal tracts Moderate, with noticeable hepatocellular change
4 Severe Severe, may have bridging fibrosis Severe, with prominent diffuse hepatocellular damage

Figure 9. Batts & Ludwig : Diagram of Necroinflammatory Activity (adapted by Theise) [3,5]

Portal tracts in chronic hepatitis (inflammation denoted by blue dots; portal tracts denoted by the red-brown well circumscribed regions) (a) grade 1: minimal interface activity, may have some lobular activity (b) grade 2: mild interface and lobular activity (c) grade 3: moderate interface and lobular activity (d) grade 4: severe and confluent interface and lobular activity

Table 2. Batts & Ludwig: Staging of Chronic Hepatitis [3]

Semiquantitative Descriptive Criteria
0 No fibrosis Normal connective tissue
1 Portal fibrosis Fibrous portal expansion
2 Periportal fibrosis Periportal or rare portal-portal septa
3 Septal fibrosis Fibrous septa with architectural distortion; no obvious cirrhosis
4 Cirrhosis Cirrhosis

Figure 10. Batts and Ludwig: Progression of Scarring in Chronic Hepatitis (adapted by Theise) [3,5]

(a) portal tract scarring, (b) fibrotic septa extending from portal tracts and focally linking them, (c) a transition to cirrhosis where some of the tissue shows regenerating nodularity completely bounded by scar, and (d) fully established cirrhosis.

ISHAK (modified Knodell)

The Ishak scoring system is based off of the Knodell system, which originally designated a histologic activity index (HAI) [6]. The HAI combined the grade (necrosis and inflammation) and stage (fibrosis). The Ishak score generates the scores for grade and fibrosis separately (Tables 3 and 4) [4].

Table 3. ISHAK: Modified HAI Grading - Necroinflammatory Scores [4]

Periportal or Periseptal Interface Hepatitis (Piecemeal Necrosis) Score
Absent 0
Mild (focal, few portal areas) 1
Mild/moderate (focal, most portal areas) 2
Moderate (continuous around <50% of tracts or septa) 3
Severe (continuous around >50% of tracts or septa) 4
Confluent Necrosis Score
Absent 0
Focal 1
Zone 3 necrosis in some areas 2
Zone 3 necrosis in most areas 3
Zone 3 necrosis and occasional portal-central bridging 4
Zone 3 necrosis and multiple portal-central bridging 5
Panacinar or multiacinar necrosis 6
Focal (spotty) lytic necrosis, apoptosis, and focal inflammation Score
Absent 0
One focus or less per 10x objective 1
Two to four foci per 10x objective 2
Five to ten foci per 10x objective 3
More than ten foci per 10x objective 4
Portal Inflammation Score
None 0
Mild, some or all portal areas 1
Moderate, some or all portal areas 2
Moderate/marked, all portal areas 3
Marked, all portal areas 4

Table 4. ISHAK: Modified Staging - Architectural changes, fibrosis, and cirrhosis [4]

Degree of Fibrosis Score
No fibrosis 0
Fibrous expansion of some portal areas, with or without short fibrous septa 1
Fibrous expansion of most portal areas, with or without short fibrous septa 2
Fibrous expansion or most portal areas with occasional portal to portal bridging 3
Fibrous expansion or most portal areas with marked bridging (portal to portal as well as portal to central) 4
Marked bridging (portal to portal and/or portal to central) with occasional nodules (incomplete cirrhosis) 5
Cirrhosis, probably or definite 6

References

  1. R. Saxena, Practical Hepatic Pathology: A Diagnostic Approach: Second Edition. 2017.
  2. Torbenson, Atlas of Liver Pathology: A Pattern-Based Approach. 2020.
  3. Batts KP, Ludwig J. Chronic hepatitis. An update on terminology and reporting. Am J Surg Pathol. 1995 Dec;19(12):1409-17. doi: 10.1097/00000478-199512000-00007. PMID: 7503362.
  4. Ishak K, Baptista A, Bianchi L, Callea F, De Groote J, Gudat F, Denk H, Desmet V, Korb G, MacSween RN, et al. Histological grading and staging of chronic hepatitis. J Hepatol. 1995 Jun;22(6):696-9. doi: 10.1016/0168-8278(95)80226-6. PMID: 7560864.
  5. Theise ND. Liver biopsy assessment in chronic viral hepatitis: a personal, practical approach. Mod Pathol. 2007 Feb;20 Suppl 1:S3-14. doi: 10.1038/modpathol.3800693. PMID: 17486049.
  6. Knodell RG, Ishak KG, Black WC, Chen TS, Craig R, Kaplowitz N, Kiernan TW, Wollman J. Formulation and application of a numerical scoring system for assessing histological activity in asymptomatic chronic active hepatitis. Hepatology. 1981 Sep-Oct;1(5):431-5. doi: 10.1002/hep.1840010511. PMID: 7308988.