Narrowing the differential -- abnormal labs in a transplant recipient

Case

A 60-year-old male with history of HCV cirrhosis (treated and cured) s/p deceased donor liver transplant with duct-to-duct biliary anastomosis six months ago presents with jaundice, dark urine, pruritus, and pale stools. He is afebrile and hemodynamically stable. Exam does not reveal abdominal tenderness but is notable for icterus. Labs revealed a total bilirubin of 10 mg/dL, direct bilirubin 5 mg/dL, ALP 538 u/L, AST 36 u/L, and ALT 41 u/L. INR is 1.0. Labs from three weeks prior were notable for a normal bilirubin and mildly elevated ALP to 181 u/L which has been rising. He reports adherence with his immunosuppression regimen and recent levels have been at goal. He denies alcohol use, herbal medications, or recent antibiotic use. Doppler ultrasound reveals coarsened hepatic echotexture, patent vessels, and intrahepatic biliary dilatation to 1cm.

What is the next best step?

Correct Answer:

ERCP

ERCP: This patient with marked cholestasis post-transplant with biliary dilatation on ultrasonography should undergo ERCP for further evaluation for obstruction and to assess for anastomotic stricture or choledocholithiasis. Though MRCP can aid in the diagnosis of biliary strictures, the presence of biliary dilatation on ultrasonography combined with hyperbilirubinemia is enough to proceed to ERCP. Hepatobiliary scintigraphy is used to assess for bile leaks post-transplant and not strictures. A liver biopsy would be unnecessary in this scenario given the imaging and lab findings, so choice C is incorrect. A biopsy should be obtained prior to starting treatment for rejection and thus choice B is incorrect.

Post-transplant biliary strictures

Biliary strictures are the most common biliary complication after liver transplantation (LT). Meta-analysis data reports stricture incidence of 13% in deceased donor and 19% in living donor LTs. Strictures are classified as anastomotic, which are short and occur at the biliary anastomosis, and non-anastomotic, which can be numerous and are typically intrahepatic or proximal to the anastomosis.  Risk factors for anastomotic strictures include bile leaks, advanced donor age, cardiac death donor, prolonged ischemia time, recipient history of primary sclerosing cholangitis, hepatic artery stenosis or thrombosis, partial LT, and technical difficulty. Additionally, a single center retrospective study found that re-transplantation and the use of nonabsorbable suture material for the biliary reconstruction to be independent risk factors for biliary complications. A comprehensive list of risk factors is shown in Table 1. Risk factors for non-anastomotic strictures include hepatic arterial complications, ABO-incompatibility, chronic rejection, post-transplant cytomegalovirus infection, excessive macrovesicular steatosis, prolonged cold/warm ischemia time, cardiac death donor, recurrent primary sclerosing cholangitis.

The vascular supply of the biliary tree is entirely arterial and thus it is more prone to ischemic injury than the hepatic parenchyma. Specifically, the donor common bile duct is supplied by branches of the gastroduodenal and hepatic arteries in a distal-to-proximal fashion, and so, after transplantation, supply to the duct is key. Strictures that form within 3 months of LT are often due to surgical technique or donor-recipient duct size mismatch. Strictures forming more than 3 months post-LT are likely due to local inflammatory reactions and fibrosis due to ischemia and edema.

Table 1: Risk factors for the development of biliary strictures after liver transplantation

This image has an empty alt attribute; its file name is Biliary-Stricture-Table-1.png

Adapted from Larghi, A., Tringali, A., Rimbaş, M., et al. Endoscopic Management of Benign Biliary Strictures After Liver Transplantation. Liver Transpl. 2019.

When do biliary strictures present?

Anastomotic biliary strictures often present between 2-12 months post-LT, though they can occur either earlier or later. Early strictures present within 30 days, delayed within 30-90 days, and late > 90 days LT. Stricture incidence plateaus at the 3-year mark after transplant and most present within the first year post-LT. Figure 1 lists the manifestation ranges of various biliary complications.

Figure 1: Manifestation periods of various biliary complications

Adapted from: Seehofer D, Eurich D, Veltzke-Schlieker W, Neuhaus P. Biliary complications after liver transplantation: old problems and new challenges. Am J Transplant. 2013.

Living Donor Liver Transplantation

Biliary complications are more frequent in LDLT largely due to the technical complexity of  creating anastomoses to small caliber ducts, higher number of anastomoses to ensure biliary flow, and devascularization of the ducts. Donor duct size and number of donor ducts are the major factors in the development of biliary complications. Therapy of anastomotic strictures is more difficult in LDLT compared to deceased donor LT due to number of anastomoses and anatomy.

Diagnosis

The differential for an abnormal liver profile in an LT recipient is vast and should include acute cellular rejection, infections such as cytomegalovirus, drug-induced changes, recurrence of liver disease, and biliary obstruction. After confirming immunosuppression adherence, the evaluation proceeds with a doppler ultrasound to assess the vessels. Anastomotic strictures will cause the development of cholestatic liver derangements. Occasionally patients develop symptoms of obstructive jaundice, as in this case; and rarely patients present with cholangitis. An anastomotic stricture may result in intrahepatic biliary dilatation, as seen in this case (Figure 2), but not necessarily due to denervation of the common bile duct. In fact, ultrasonography only has a high positive predictive value if biliary dilatation is observed and otherwise has poor sensitivity. Normal ultrasound findings should not prevent further workup. Meta-analysis has shown that MRCP is specific (94%) and sensitive (96%) in ruling out biliary obstruction in LT recipients and may be used prior to proceeding to more invasive studies. Cholangiogram (either endoscopic or percutaneous) is gold standard for diagnosis of strictures and carries the added benefit of potential therapeutics, but also is the most invasive.  Cholangiogram will demonstrate a focal narrowing at the anastomosis with upstream dilatation.

Figure 2: Ultrasonography demonstrating biliary dilatation

Back to the case

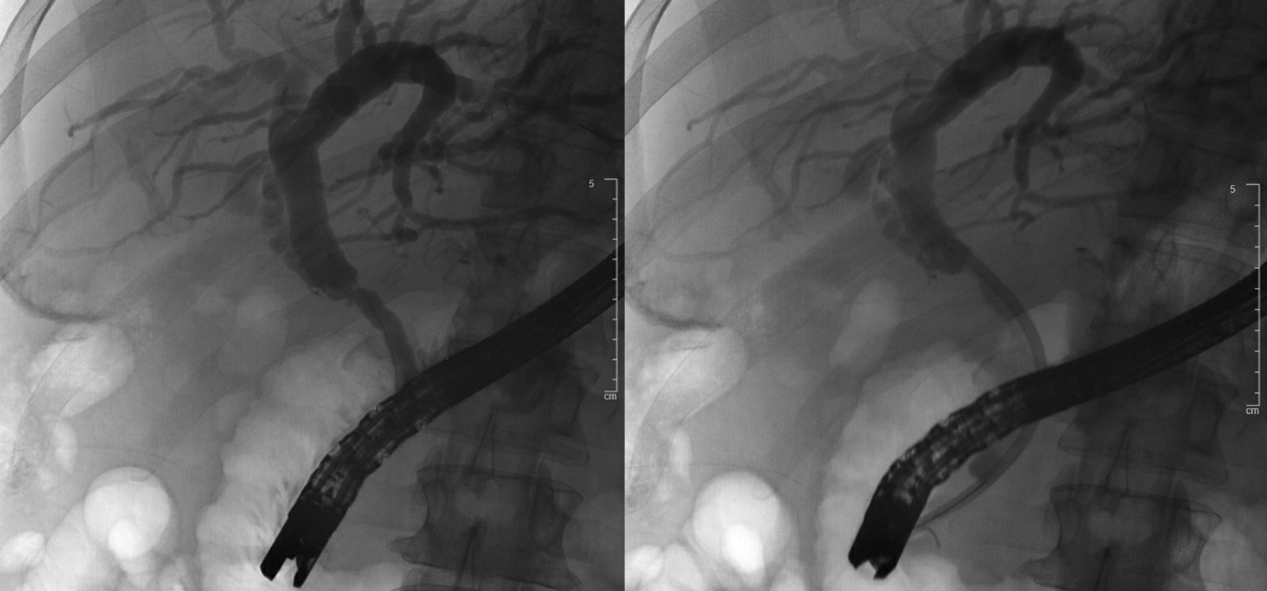
The patient undergoes ERCP which revealed an anastomotic stricture as shown in Figure 3 that was dilated to 6mm and stented with a 10 Fr plastic stent.

Figure 3: Cholangiogram demonstrating anastomotic biliary stricture (left) and post- stent placement (right)

Treatment

Endoscopic treatment with ERCP for biliary sphincterotomy, balloon dilation, and stent placement is the gold standard, although in patients with Roux-en-Y hepaticojejunostomy or choledochojejunostomy, percutaneous transhepatic cholangiography (PTC) for biliary drainage is usually required, especially if enteroscopy-assisted ERCP is not feasible. Stenting with balloon dilation has been shown to be superior to dilation monotherapy; however, dilation in early strictures is used with caution to avoid perforation or leaks. As stents usually occlude after 3 months, serial ERCPs every 2-3 months will be required for repeat dilation, stent exchange, and reassessment. Multiple studies have reported stricture resolution rates ranging from 70-100% after 3-4 ERCPs. A single-center study demonstrated stricture resolution in 98% of patients and a recurrence rate of 6% with a median follow up period of 5.8 years from stent removal. These recurrences were retreated endoscopically with success. The type of stent, plastic or metal, has also been investigated. Metal stents may have the added benefit of fewer ERCPs though there is a risk of stent migration. A RCT of plastic vs covered metal stents demonstrated similar resolution rates at 12 months post-LT, but higher stricture recurrence rate and stent migration rate in the metal stent group. Meta-analysis of plastic vs metal biliary stents shows similar resolution and recurrence rates; however, the metal stent group underwent fewer ERCPs, had shorter duration of treatment, and accrued lower costs. Ultimately, the decision on type of stent is left to the endoscopist and center preferences and most metal stents are placed after failed plastic stenting. Anastomotic strictures which present 3 months post-LT often have a longer course requiring more sessions. Stricture resolution is less common in LDLT patients, likely due to duct caliber and number of anastomoses. As in deceased donor liver transplantation, late-onset biliary strictures in LDLT patients have a lower rate of resolution. Endoscopic ultrasound-guided biliary drainage has been established as a viable technique for managing benign strictures in which biliary cannulation via ERCP fails; however, further data is required in the post-transplant setting.

Percutaneous drainage has a success rate of ~80%. This procedure is also performed serially with possible up-sizing of drains and internalization. One single-center study compared enteroscopy-assisted ERCP to PTBD in patients with  bilioenteric anastomotic strictures after Roux-en-Y hepaticojejunostomy and found similar rates of success, clinical improvement, and complications, though the endoscopic group required fewer procedures and had stricture resolution faster.

For refractory strictures, surgery is indicated with either repair of biliary anastomosis or conversion to Roux-en-Y hepaticojejunostomy in patients with previous duct-to-duct anastomosis and revision  in those who had a previous Roux-en-Y anastomosis. Stricture characteristics that can lead to surgery include narrow diameter and manifestation later than 6 months post-LT. Persistent strictures and severe cholestasis affect overall graft survival and may lead to secondary biliary cirrhosis requiring retransplantation in rare cases.

Back to the case

The patients cholestasis steadily improved and one week after ERCP his total bilirubin had decreased to 4 mg/dL, direct 2 mg/dL, ALP 200 u/L, AST 20 u/L, ALT 50 u/L. His symptoms significantly improved.