Pathology Pearls: Acute Cellular Rejection

Brief Case Presentation

A 50 year old patient with a history of autoimmune hepatitis status-post liver transplantation approximately four months ago demonstrated the laboratory results in the table (see also "Abnormal Labs in a Transplant Recipient") below after reporting fatigue and abdominal pain. A liver ultrasound shows patent hepatic vasculature, no thrombus formation, and no biliary strictures.

Lab Test Result
AST 135 U/L (0 – 39 U/L)
ALT 110 U/L (0 – 52 U/L)
Alk. Phos 200 U/L (34 – 104) U/L
Total Bilirubin 2.8 g/dL (0.0 – 1.0 g/dL)
   
Tacrolimus level 4.4 ng/mL (goal 8 – 10 ng/mL)

A liver biopsy is performed.

Liver Core Biopsy - Histology Findings

The liver biopsy is adequate (at least 3 cm long, with >10 portal tracts for evaluation), and at low power shows numerous portal tracts that are expanded by inflammatory cells (Fig. 1).

Figure 1: Low power view of the liver core, the majority of portal tracts (subset with black circles) are expanded by inflammatory cells.

Higher magnifications shows portal tracts with predominantly lymphocytic infiltrate (also with few neutrophils, eosinophils, and rare plasma cells) (Fig. 2).

Figure 2: Medium power view of a portal tract showing predominantly lymphocytic infiltration, surrounding an involving bile ducts (BD, "ductitis") and portal veins (PV, "endotheliitis")

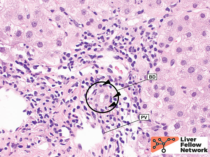
The majority of bile ducts show infiltration of lymphocytes into the bile duct epithelium with associated vacuolar injury (Fig. 3) (see Normal Liver Histology for a refresher). The majority of portal veins show lymphocytic infiltration of the subendothelium (Fig. 4).

Figure 3: High power view of a portal tract showing bile duct vacuolar injury (circle) secondary to lymphocytic ductitis (lymphocytes highlighted by arrowheads).
Figure 4: High magnification view of portal tract showing portal vein (PV) with extensive subendothelial lymphocytes (endotheliitis). Nearby bile ducts (BD) also show lymphocytic ductitis.

The inflammation extends from the portal areas into the lobules, and is associated with hepatocyte necrosis spanning entire lobular units (a.k.a “confluent necrosis”) (Fig. 5&6). A reticulin stain can highlight the remnant collapsed reticulin network in an area of hepatocyte necrosis (Fig 7) (see Normal Liver Histology for a refresher).

Figure 5: Area showing confluent necrosis (necrotic and apoptotic hepatocytes spanning a large area)
Figure 6: Higher magnification of confluent necrosis (hepatocytes have lost polygonal shape, are more eosinophilic (more pink), and are disorganized (lobular disarray).
Figure 7: A reticulin stain highlights areas of collapsed reticulin network with spaces left behind by the necrotic hepatocytes. A reticulin stain in a normal liver would show think reticulin fibers separated by 1-2 healthy hepatocytes.

Taken all together, the liver biopsy findings are compatible with severe acute cellular rejection (T cell mediated rejection) of the patient’s liver transplant in the clinical setting described.

Acute cellular rejection (T-cell mediated rejection) (ACR/TCMR)

Acute cellular rejection is a result of a recipient T-cell mediated immune response targeting the donor allograft resulting in allograft injury of various severity. Biliary and hepatocellular damage leads to elevation in alkaline phosphatase and transaminases, which is often the first sign of ACR in mild cases and may be asymptomatic. Symptomatic cases may present with fever, malaise, abdominal pain, hepatomegaly, ascites. Severe cases may be associated with jaundice.

While the presence of ACR is suspected clinically, liver biopsy is necessary to establish the diagnosis and grade severity. The histopathologic findings to establish a diagnosis of at least mild ACR/TCMR are classically described as a triad of findings:

  • Portal inflammation: lymphocytes, eosinophils, neutrophils, and macrophages
  • Ductitis: Bile duct intraepithelial lymphocytes and bile duct damage (vacuolization and eosinophilic change)
  • Endotheliitis: subendothelial lymphocytes infiltration and endothelial damage (swelling, detachment)

Severe cases, as the one described above, include the classic triad of findings, along with central vein inflammation and perivenular inflammation and hepatocyte dropout/necrosis or confluent necrosis (some may use the term parenchymal rejection). These histologic findings are combined into a qualitative assessment under the Banff Working Group criteria for liver allograft pathology (updated 2016) (Table 1). The Banff Working Group also developed a method for quantitative assessment of allograft rejection, called the rejection activity index (RAI) wherein each of the triad of histologic findings for ACR (portal inflammation, bile duct inflammation, and venous endothelial inflammation) are each graded on a 3-point scale, resulting in scoring scheme ranging from 3 to 9, with 9 being most severe.

GradingDescription

IndeterminatePortal and/or peri-venular inflammatory infiltrate related to alloreaction, but does not meet criteria for mild rejection (below)

MildCharacteristic inflammatory infiltrate in a minority of portal tracts, confined to the portal spaces, and absence of hepatocyte dropout or confluent necrosis

ModerateCharacteristic inflammatory infiltrate in a majority of portal tracts with hepatocytes dropout or confluent necrosis confined to a minority of perivenular areas

SevereSame as moderate, but with inflammation extending into peri-portal areas, with or without perivenular inflammation extending into the hepatic lobular parenchyma, and with hepatocyte necrosis involving a majority of perivenular areas

ACR, especially early onset, is typically well responsive to steroids. Even severe liver injury can be reversed with steroid or thymoglobulin (ATG) treatment. However, refractory or atypical cases may not be responsive and progress to chronic rejection (a detailed clinical description of allograft rejection as well as discussion of other forms of allograft rejection will be topics of future LFN posts). Figures 8-10 show resolution of the liver injury post-treatment in a patient who had severe ACR ~4 weeks prior.

Figure 8: Low power view of a post-treatment liver biopsy after a diagnosis of severe ACR ~4 weeks prior. Note the absence of portal inflammation and intact liver architecture.
Figure 9: The post-treatment liver shows resolution of portal inflammation, and no longer shows ductitis or endotheliitis
Figure 10: The post-treatment liver also no longer shows centrilobular or periportal necrosis. Th presence of pigmented macrophages (grey colored cells, arrowheads) provides evidence of prior injury

Differential Diagnosis

Liver biopsy is required for the definitive diagnosis of ACR/TCMR. Nevertheless, there are several important differential diagnostic considerations in a transplant patient undergoing allograft biopsy to evaluate for rejection. Recurrence of the disease process underlying the patient’s need for transplantation is the primary differential. Therefore, the pathologist needs to be aware of the underlying reason for the patient’s transplant and this information should be included in every requisition for liver biopsy.

Recurrent chronic viral hepatitis (Hepatitis B or C) would present with portal inflammation with or without endotheliitis. If autoimmune hepatitis, primary biliary cholangitis, or overlap syndrome has recurred, the liver may show a spectrum of portal based inflammation and ductitis that significantly overlaps with ACR/TCMR. Post-transplant biliary and vascular anastomotic can lead to ischemic cholangiopathy, which may show prominent ductitis and duct epithelial injury.

Due to chronic immunosuppression, other viral infections such as EBV and CMV must also be considered. EBV can demonstrate lymphocytic infiltrate (often in the sinusoidal spaces). CMV in liver biopsies may be suspected when neutrophilic micro-abscesses are present with "punched-out" hepatocyte necrosis. Immunohistochemical stains can be performed to detect EBV/CMV viral antigens.

The pathologist should also be alert to post-transplant lymphoproliferative disorders (PTLD). PTLD is an EBV-driven disease with a wide variety of histologic presentations, but is a B-cell proliferative disorders (rather than the T-cell mediated process in ACR). Use of CD3 (T-cell marker) and CD20 (B-cell marker) stains, along with EBV stains can point the pathologist toward this diagnosis.

Providing the most accurate and timely diagnosis on liver biopsy requires careful inspection of the glass slides, in combination with knowledge of the clinical history, presentation, and laboratory and imaging findings. Effective and timely communication with the clinical team is often an important part of the pathologist's final interpretation of the liver biopsy. Pathologists recognize the critical nature of allograft biopsies, and all pathology practices will have established protocols for alerting clinicians to severe rejection as part of a set of reportable "Critical Values."

References

  1. Demetris, A. J. et al. 2016 Comprehensive Update of the Banff Working Group on Liver Allograft Pathology: Introduction of Antibody‐Mediated Rejection. Am J Transplant 16, 2816–2835 (2016).
  2. Torbenson, Surgical Pathology of the Liver. 2018.
  3. Burt, MacSween’s Pathology of the Liver: Seventh Edition. 2017.