Pathology Pearls: Chronic Cellular Rejection

Brief Case Presentation

The patient from the previous Pathology Pearls post (a 50 year old with history of autoimmune hepatitis status-post liver transplant) presents for follow-up two years later. Chart review reveals that three additional hospitalizations for episodes of acute rejection over that time period. Although the patient currently reports no pain or discomfort, there is subtle jaundice on physical exam. Laboratory results are shown in the table below.

Lab Test Result
AST 40 U/L (0 – 39 U/L)
ALT 55 U/L (0 – 52 U/L)
Alk. Phos 250 U/L (34 – 104) U/L
Total Bilirubin 4.5 g/dL (0.0 – 1.0 g/dL)
   
Tacrolimus level 7.1 ng/mL (goal 8 – 10 ng/mL)

A liver biopsy is performed.

Liver Core Biopsy - Histology Findings

Medium power view of the liver biopsy shows several portal tracts with only mild inflammation (Fig. 1).

Figure 1: Medium power view of two portal tracts, few scattered inflammatory cells are present. Photo credit: Dr. Nigar Khurram

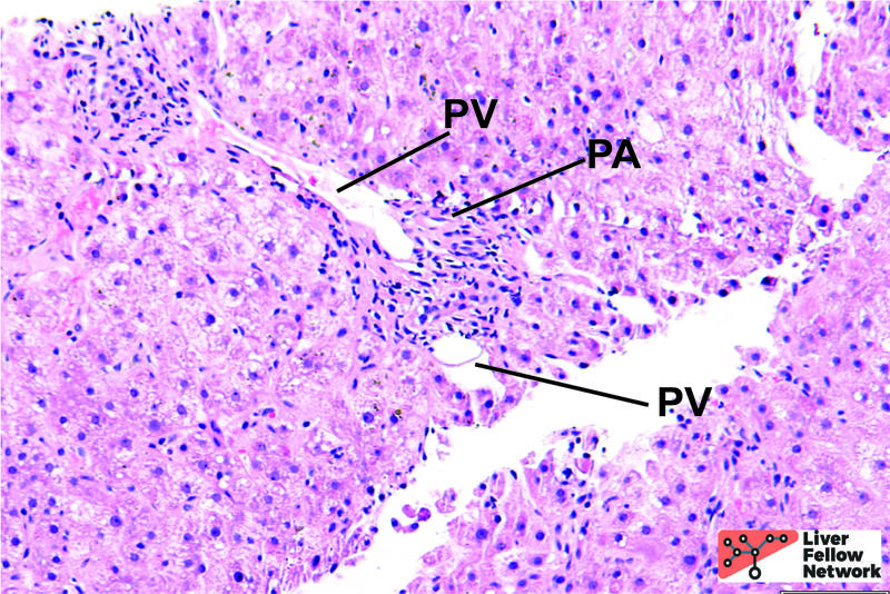
Higher magnification shows portal veins and arterioles, however, there are no visible bile ducts (Fig. 2). Some portal tracts show several unpaired portal arterioles (Fig. 3). For a refresher on the normal histology of the portal tract, see Normal Liver Histology 101.

Figure 2: High power view of portal tract with portal vein (PV) and arterioles (PA, tangentially cut in this image), with no apparent native bile ducts. Photo credit: Dr. Nigar Khurram.
Figure 3: High power view of a portal tract with several portal arterioles (PA) without paired bile ducts.

Other portal tracts show mild lymphocytic inflammation, as well as apoptotic debris representing damaged bile ducts (Fig. 4).

Figure 4: High magnification view of a portal tract with no visible bile ducts, scattered mononuclear inflammatory cells (black arrowheads) and cellular debris (white arrowheads).

The lobules show hepatocellular and canalicular cholestasis (Fig. 5) and there are areas with hepatocytes with cleared out cytoplasm and injury (also known as “cholate stasis”) (Fig. 6).

Figure 5: Cannalicular (predominant) and hepatocellular cholestasis, in a centrilobular distribution (note portal tract to the right, boxed area is centrilobular).
Figure 6: From left to right, the image shows a portal tract without native bile ducts, an area of hepatocellular cholestasis (black arrowheads) and pale injured hepatocytes, called cholate stasis (boxed area).

Taken altogether, the histologic findings in the clinical context are consistent with chronic (ductopenic) cellular rejection.

Chronic cellular rejection (Ductopenic cellular rejection)

Chronic rejection is immune-mediated allograft injury. It is the evolution of multiple, persistent, unresolved episodes of acute T cell rejection. Historically, chronic rejection accounted for 20% or more of liver allograft failures in transplant patients, but that number has decreased dramatically over the past few decades (now ~3%), due to increased recognition and treatment of this type of rejection. Risk factors include donor age above 40 years, recipient age under 30 years, and underlying autoimmune disease necessitating transplant (such as primary biliary cholangitis or autoimmune hepatitis).

The two most specific findings related to chronic rejection are found in the bile ducts or vasculature:

  • Biliary: Bile duct loss (ductopenic chronic rejection)
  • Vascular: foam cell arteriopathy of medium to large size vessels**

Bile duct loss can be secondary to direct immune-mediated damage, or secondary to ischemic injury due to vascular chronic rejection. Early in the disease process, the histologic picture is similar to that of acute cellular rejection (link to previous post) with lymphocytic ductitis and biliary epithelial damage (loss of polarity, eosinophilic cytoplasm, and epithelial atrophy). The criteria for chronic ductopenic rejection is met when greater than half (>50%) of portal tracts have lost bile ducts. Naturally, loss of bile ducts will lead to hepatocellular and canalicular cholestasis.

CK7 is a useful immunohistochemical stain to use to evaluate chronic rejection. CK7 will highlight native bile ducts and ductular proliferation. Furthremore, CK7 will reveal hepatocyte that have undergone a process called “cholangiolar metaplasia;” an adaptive response to protect hepatocytes from chronic cholestasis, providing evidence of the chronicity of the disease process. Figure 7 shows an example of CK7 staining in chronic allograft rejection.

Figure 7: Immunohistochemical staining for CK7 in chronic rejection. The portal tract (hashed box) on the left shows ductular proliferation (black arrowheads), but does not show any native bile ducts. Native bile ducts would appear as smaller, round profiles with an open lumen. The portal tract on the right also shows ductular proliferation, and the right side of the image shows hepatocytes with pale brown staining (straight box), indicating cholangiolar metaplaisa.

Late stage and severe cases will show centrilobular necrosis (due to chronic ischemia from vascular rejection) and varying fibrosis. Figure 8 shows an example of moderate peri-portal and peri-cellular fibrosis in a case of chronic rejection.

Figure 8: Masson trichrome stain shows increased peri-portal fibrosis (hashed box) and pericellular fibrosis (straight box).

**Of note: this discussion focuses almost entirely on the biliary findings for chronic rejection. The vascular manifestation of chronic rejection (foam cell arteriopathy) is almost never seen on biopsy specimens (you can visit this link from University of Pittsburgh Medical Center to see an example). Foam cell arteriopathy can more often be seen in evaluation of a resected failed allograft or at autopsy.

Differential Diagnosis

The two main findings on liver biopsy for chronic ductopenic rejection are ductopenia and cholestasis. The differential diagnosis, therefore, includes other cholestatic and ductopenic disorders

Chronic biliary obstruction is the most common differential. Obstruction may show portal edema and can often show a more brisk ductular proliferation than chronic rejection (which will show relatively low ductular reaction). However, obstruction, if chronic, can lead to ductopenia, so there can be significant overlap in the histologic picture. Toxic drug induced liver injury (DILI) can often show cholestasis and biliary injury. In most cases, frank ductopenia is not usually seen in DILI, however, certain medications (several antibiotics) have been associated with so-called “Vanishing Duct Syndrome.”  Recurrence of autoimmune biliary disease, such as primary biliary cholangitis (PBC) or primary sclerosing cholangitis (PSC) should also be considered.

References

  1. Torbenson, Surgical Pathology of the Liver. 2018.
  2. Burt, MacSween’s Pathology of the Liver: Seventh Edition. 2017.
  3. LiverTox: Clinical and Research Information on Drug-Induced Liver Injury [Internet]. Vanishing Bile Duct Syndrome. Updated December 11, 2019.

Acknowledgements

Special thanks to Dr. Nigar Khurram for providing images for Figures 1, 2 and 4.