Challenges in managing autoimmune hepatitis

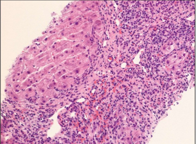
A 58-year-old Hispanic female with a past medical history of prediabetes is referred to you for evaluation of elevated liver enzymes. Her most recent labs included ALT 110 (U/L), AST 89 U/L, ALP 169 U/L, and total bilirubin 0.8 (her MELD 3.0 was 8). She did not drink alcohol or take medications associated with DILI, and hepatitis B and C serologies were negative. Autoimmune serologies were notable for a positive anti-smooth muscle antibody (1:40), with negative anti-nuclear antibody, anti-mitochondrial antibody, anti LKM, and soluble liver antigen. Total IgG was 1093 mg/dL. Abdominal imaging was consistent with cirrhosis. Percutaneous liver biopsy (figure below) showed a dense mononuclear portal infiltrate (plasma cell-rich) with extensive interface and lobular hepatitis and widespread confluent necrosis (bridging parenchymal collapse) and portal fibrosis with focal architectural distortion (Batts- Ludwig Stage 3/4), suggestive of autoimmune hepatitis. 

What is the most appropriate step in management?

Correct Answer:

A. Start prednisone 40 mg, check TPMT levels, and start azathioprine soon after

Liver biopsy:

Answer: A

The patient was started on 40 mg of prednisone. After two weeks of therapy, and following assessment of TPMT metabolite status, 50 mg of azathioprine was added. After a four-week course of prednisone and azathioprine, there was no improvement in liver enzyme levels. Given concern for treatment failure, the azathioprine dose was increased to 100 mg, and the prednisone dose was increased to 60 mg daily. Due to a lack of biochemical response after eight weeks of dual therapy with high-dose azathioprine and prednisone, azathioprine was discontinued, and mycophenolate mofetil 500 mg twice daily was added to prednisone 60 mg daily. After eight weeks of therapy with mycophenolate mofetil and prednisone, repeat laboratory studies showed improvement in ALT. However, due to the atypical and delayed response to therapy, a repeat liver biopsy was performed to assess treatment response and evaluate the degree of fibrosis.

Early treatment response

Our patient reported medication compliance, but her AST, ALT and ALP did not improve with four months of corticosteroid and azathioprine therapy. The rapidity of response to treatment, especially improvement in aminotransferase levels within two weeks, has been shown to be an important predictor of longer-term outcomes, including liver-related death and need for transplantation. There are certain factors that predict the response to treatment for autoimmune hepatitis including age, presence of cirrhosis, and ethnicity. A younger age at diagnosis and the presence of cirrhosis are associated with incomplete or absent response to therapy in autoimmune hepatitis. 

It is important to note that a proportion of patients (10-15%) are refractory to treatment.

The definitions of treatment response are highlighted in the table below from the AASLD 2019 guidelines on autoimmune hepatitis. 

Table 1.      Adopted from AASLD guidelines on AIH from 2019 

Figures 1 and 2 are examples of algorithms that highlight optimizing therapy before switching to second line therapies.

Figure 1. An algorithm on the management of autoimmune hepatitis. 

Figure 2. Suggested approach for management of autoimmune hepatitis.      

The use of up-front mycophenolate

Emerging data show more patients achieve biochemical remission with mycophenolate mofetil as the first-line therapy as shown in Figure 3. However, because mycophenolate is teratogenic, women of childbearing age must avoid pregnancy during its use and it is recommended to use two forms of contraception. 

Figure 3. Randomized control trial from Netherlands on a higher rate of biochemical remission at 6 months compared to azathioprine.

The role of repeating liver biopsy

A repeat liver biopsy was obtained to evaluate the response to therapy as the patient exhibited a delayed and atypical response. This showed a significant improvement in the degree of interface hepatitis and an improvement in necroinflammation and lymphocytic infiltration. There continues to be bridging fibrosis and focal regenerative nodule formation (Batts-Ludwig Stage 4/4)

In cases where there is no response to therapy, or when deciding to withdraw therapy, a liver biopsy can be helpful in correlating the regression of fibrosis and determining if an alternative etiology for liver disease is present that could change management.

Conclusions:

  • Autoimmune hepatitis is a heterogeneous disease with varying clinical presentations.
  • Choosing the right treatment for patients and aiming for biochemical remission early is important.
  • Optimizing therapy before switching an agent or calling a treatment failure is crucial.
  • In a select group of cases where there remains diagnostic uncertainty and an inadequate treatment response, repeating a liver biopsy can be helpful to guide further management.