Liver Pathology

This installment of LFN Pathology Pearls takes the form of a dozen visual “flashcards” – images representing classic histopathologic findings across a range of liver conditions. Labeled and unlabeled images are provided. Each flashcard is accompanied by a one-line clinical history and associated prompt(s), along with a brief explanatory note and link to a prior Path Pearls post on that topic, if available. We hope that this offers a quick and engaging self-review tool for those with an interest in liver pathology. [Note: clinical details in the vignettes have been modified for didactic purposes/patient deidentification.]

Card 1:

55-year-old patient with decompensated heart failure, now undergoing workup for heart transplantation. Liver biopsy findings shown below. What is the key histopathologic finding in and B, and how does this reflect the clinical history? What special stain is used in C and what is it highlighting?

Correct Answer:

This biopsy demonstrates sinusoidal dilatation (sinusoidal diameter greater than the width of 1 hepatic plate, seen in and B) in a centrilobular distribution (i.e., concentrated around the central vein, best seen in A), as well as mild congestion (stasis of red blood cells within the sinusoids, circled in black in A). While sinusoidal dilatation is a relatively nonspecific finding, this zonal distribution is highly suggestive of hepatic venous outflow obstruction – presumably due here to the patient’s known heart failure. These patients may develop fibrosis (best appreciated on trichrome stain, not shown here) and, ultimately, so-called cardiac cirrhosis, potentially necessitating combined heart-liver transplantation. 

The “Prussian blue” iron stain in highlights hemosiderin deposition within innumerable sinusoidal Kupffer cells, a few of which are circled in black.

Card 2:

40-year-old patient status post orthotopic liver transplantation in the setting of alcohol use disorder; postoperative course complicated by sepsis of unclear source and unconjugated hyperbilirubinemia (total bilirubin 9.2 mg/dL). Liver biopsy is performed. What is the key histopathologic finding in (A) and (B), and how does this reflect the clinical history?

Correct Answer:

The most striking feature of this biopsy is the presence of inspissated bile in a background of ductular proliferation and mild inflammation. This pattern, known most commonly as cholangitis lenta (other terms include cholangiolar cholestasis, subacute nonsuppurative cholangitis, and ductular cholestasis), may be seen in a variety of conditions that result in severe cholestasis, including obstructive processes (e.g., biliary atresia) and cholestasis in the setting of systemic illness, intra-abdominal infection, and/or sepsis. [For further details, see Torous et al., PMID: 28984672]

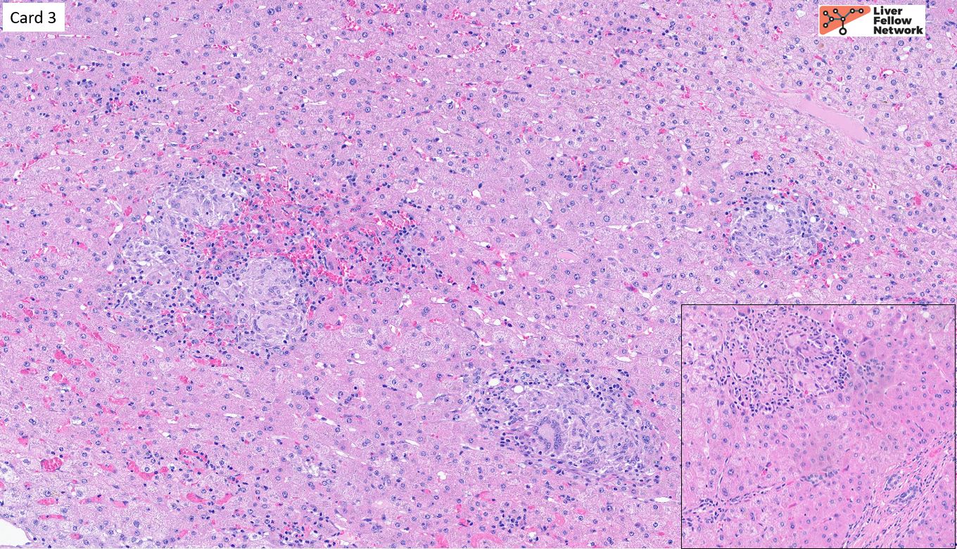
Card 3:

65-year-old patient with decompensated cirrhosis. Alkaline phosphatase is moderately elevated (to 280 U/L); AST and ALT are within normal limits. History is further notable for chronic dyspnea. CT chest demonstrates hilar and mediastinal lymphadenopathy as well as peribronchial thickening. The patient undergoes orthotopic liver transplantation. What is the key histopathologic finding in this image and the associated differential diagnosis? 

Correct Answer:

This section demonstrates prominent non-necrotizing epithelioid granulomas scattered throughout the hepatic parenchyma. Granulomatous liver disease prompts a broad differential (see Pathology Pearls post) that includes infection (generally associated with necrotizing granulomas, unlike the non-necrotizing granulomas seen in this instance), drug-induced liver injury (DILI), biliary disease (particularly primary biliary cholangitis), and sarcoidosis. In this instance, the presence of non-necrotizing hepatic granulomas and elevated alkaline phosphatase in a patient with a history of pulmonary disease and hilar lymphadenopathy is strongly suggestive of sarcoidosis. The granulomas in hepatic sarcoidosis are classically portal/periportal, as seen in the inset, and may be highly fibrotic (not appreciated here).

Card 4: 

54-year-old patient is worked up for incidentally identified transaminitis and is found to have markedly elevated ferritin and transferrin saturation. What special stain is shown in A and B and what is the key histopathologic finding? What pigment is seen on the H&E image (B, inset)? What further testing is necessary in order to establish the diagnosis? 

Correct Answer:

A Prussian blue iron stain (A and B) highlights copious hepatocellular iron deposition in this patient with hereditary hemochromatosis (see Pathology Pearls post). Note that iron deposition is concentrated in the periportal hepatocytes; the centrilobular hepatocytes (i.e., those nearest the central veins, which are marked in red) are relatively spared. On H&E (B, inset), a fine brownish pigment – iron – is seen within many of the hepatocytes.

Assessment of HFE status via genetic testing is necessary in order to establish the diagnosis. In this instance, the patient was found to be a compound heterozygote.

Card 5: 

12-year-old patient presents with fatigue, malaise, and transaminitis (ALT and AST >2x upper limit of normal). Anti-liver/kidney microsomal antibody is positive. Biopsy findings are consistent with what diagnosis? 

Correct Answer:

The biopsy demonstrates expansion of the portal tracts by a lymphoplasmacytic infiltrate; plasma cells are quite prominent, as seen in B,and there is interface activity (lymphoplasmacytic spillover from the portal tracts into the adjacent lobular parenchyma, with associated hepatocyte injury). Given the history, the findings fit well with a diagnosis of autoimmune hepatitis (see Pathology Pearls post).

Card 6: 

45-year-old patient undergoes orthotopic liver transplantation for cirrhosis in the setting of alcohol use disorder. A section from the explant is shown. What change(s) is/are seen in the circled hepatocytes? 

Correct Answer:

The most striking feature in this explant is the presence of large, distorted-appearing hepatocytes with centrally placed nuclei and rarified cytoplasm. This ballooning degenerationmay be seen in a variety of conditions, but is most closely associated with fatty liver disease. The presence of ballooned hepatocytes, along with necro-inflammatory activity, enables a diagnosis of steatohepatitis. This case is also notable for the presence of prominent Mallory-Denk bodies (Mallory hyaline), clusters of degenerating cytoskeletal proteins that manifest on H&E as eosinophilic aggregates within the cytoplasm (outlined in red, inset). For more detail, see Pathology Pearls post.

Of note, the prominent cholestasis/bile plugging (outlined in green) seen here is a relatively common finding in decompensated cirrhosis. 

Card 7:

48-year-old female with a history of autoimmune thyroiditis presents with fatigue, pruritus, conjugated hyperbilirubinemia, and positive anti-mitochondrial antibody. Liver biopsy is performed. What is the key pathologic finding in A? What changes are seen in the bile ductules in B? What diagnosis best fits these findings? 

Correct Answer:

demonstrates a portal tract that is markedly expanded by a dense infiltrate of plasma cells and lymphocytes (“lymphoplasmacytic infiltrate”). Notably, a solitary, rather poorly-formed granuloma is present (outlined in red). includes two bile ductules (outlined in green) with a decidedly “ragged,” injured appearance; lymphocytes can be seen burrowing between the epithelial cells, which in turn are enlarged and reactive-looking. Note that these findings are patchy; some portal tracts are relatively spared (B, inset), with healthy-appearing bile ductules (green). For more detail, see Pathology Pearls link. Overall, these findings fit well for a diagnosis of primary biliary cholangitis.

Card 8: 

This patient underwent combined kidney-liver transplantation. The 6.6 kg liver explant exhibits a striking gross appearance (A-B); histologic correlates are seen in C-D. What is the most likely diagnosis? What finding is seen in D, inset?

Correct Answer:

This is a classic case of polycystic liver disease in a patient with associated autosomal dominant polycystic kidney disease (ADPKD) (see Pathology Pearls post here). The patient underwent combined kidney-liver transplantation. This liver was grossly quite enlarged and studded in tense cysts containing clear serous fluid. On histology, the cysts are lined by a simple biliary epithelium (C, D) with underlying fibrosis (D); von Meyenberg complexes, also known as biliary microhamartomas (D, inset), are often associated with the cyst wall.

Card 9: 

A 47-year-old patient with alcohol use disorder presented in acute liver failure after accidental massive acetaminophen ingestion, necessitating orthotopic liver transplantation. The gross explant is shown in A. What pattern of injury is seen in B-D? Are these findings congruent with the clinical history?

Correct Answer:

The dusky, distended gross appearance of the liver in A correlates nicely with the histology seen in B-D, characterized by extensive necrosis and hemorrhage centered around the central veins (“centrilobular”/zone 3), with encroachment of zone 2. Only a scant rim of periportal hepatocytes remains viable. Notably, there is relatively little inflammation given the extent of necrosis.

While somewhat nonspecific (other toxic agents, such as cocaine, may cause similar findings, and centrilobular necrosis is also a classic feature of “shock liver” in hypotensive patients), this constellation of clinicopathologic findings is consistent with acetaminophen-associated liver injury. The residual viable parenchyma shows some macrovesicular steatosis, which could fit with the history of alcohol use disorder; however, insufficient parenchyma is present for an accurate assessment of underlying liver disease. 

Card 10: 

This 52-year-old patient presents with mild transaminitis and failure to thrive; history is notable for heart transplantation 1 year earlier in the setting of nonischemic cardiomyopathy. Viral hepatitis workup is negative. Liver biopsy findings are shown in A-B with an example of normal parenchyma (different patient) provided for comparison in C. What is the most striking feature of this biopsy and what differential does it raise? 

Correct Answer:

The cytoplasm of virtually every hepatocyte in this field is palely eosinophilic and has a finely granular consistency. In the setting of hepatitis B infection, this is known as ground-glass change and stems from the buildup of viral particles within the smooth endoplasmic reticulum (see Pathology Pearls post). In HBV-negative patients, as is the case here, so-called pseudoground-glass changemay be seen; proposed etiologies include accumulation of abnormal forms of glycogen and/or mild proliferation of the smooth endoplasmic reticulum. Polypharmacy, particularly in immunosuppressed individuals, is a common clinical association and is the likely explanation in this case. [See Wisell et al., PMID: 16931952, for further information.]

Card 11: 

A 47-year-old patient with alcohol use disorder underwent orthotopic liver transplantation for decompensated cirrhosis. Sections from the native liver confirmed the presence of micronodular cirrhosis (A) but demonstrated an additional pathologic finding (A, inset). What is the likely diagnosis, as confirmed by the special stain in (and B, inset)? 

Correct Answer:

These sections demonstrate cirrhosis (A) as well as chunky eosinophilic globules (a few of which are circled in yellow in B) within the periportal/peri-septal hepatocytes. The globules stain with PAS and are resistant to digestion with diastase; as such, they are nicely highlighted by the PAS-diastase (PAS-D) stain shown in B, inset, confirming a diagnosis of alpha-1-antitrypsin deficiency. This patient was found to have Pi*MZ phenotype. Further details are available in this Pathology Pearls post.

Card 12: 

This 26-year-old male has a history of ulcerative colitis and now presents with mild transaminitis, alkaline phosphatase of 287 U/L, and total bilirubin 2.9 mg/dL. A liver biopsy is performed. What is the key pathologic finding in this field? What is the most likely diagnosis? 

Correct Answer:

H&E (A) demonstrates concentric (“onion skin”) fibrosis (outlined in green) of the bile ducts (circled in red). This is nicely confirmed by the trichrome stain, which highlights collagen (fibrosis) in blue (black arrows in span layers of fibrosis). Onion skin fibrosis is a classic feature in primary sclerosing cholangitis. Progressive damage to the ductular epithelium is common, though not well developed in this case. Over time, the ducts are obliterated (fibro-obliterative lesions, also not seen here). Patients ultimately progress to biliary-type cirrhosis. Of note, PSC is often patchy and key findings may be absent on biopsy; correlation with ERCP/MRCP is generally essential for definitive diagnosis. See this Pathology Pearls post for further details.